Periodontal disease, also known as gum disease, often progresses silently. The symptoms can be difficult to detect at first. If left untreated, it can lead to tooth loss and other oral health problems.
So, how long can you save your teeth if you have periodontal disease? However, with early intervention and proper care, it's possible to manage this condition and preserve your teeth for many years.
Otherwise, you'll notice your gums receding, your teeth becoming loose, and your pain increasing over time. To answer this question, we need to delve deeper. This blog post will cover the stages of periodontal disease, its effects on oral health, and strategies for protecting your teeth.
Signs of periodontal disease
Periodontal disease is a serious problem with your mouth that can affect a lot of things, like your gums and teeth. If you notice the symptoms and don't get them treated, they could get worse and cause you to lose your teeth. Finding out about a problem early and getting help are very important for keeping your teeth. The most common signs of periodontal disease are:
- Too much swelling in the gums
- Gums that are red, purplish, or dark red
- Bleeding from the teeth when you brush or touch them
- Later on, the gums pull back, exposing the roots of the teeth.
- A bad smell and sometimes a metallic taste in the mouth
- Teeth becoming loose or even coming out of place because of bone loss
- Pain when chewing or putting pressure on the teeth
When pockets between the teeth and gums get deeper, bacteria can build up and cause infections. These infections make pus build up in the roots and gums, which needs to be treated right away. If you have these symptoms, you should see a dentist right away to find out what stage of periodontal disease you have and how to treat it. If you don't get treatment, you could lose your teeth and other serious problems.
How quickly does periodontal disease progress?
Periodontal disease can progress much faster than you think. In fact, the process begins without you even realizing it. You don't brush your teeth one day, then another… and within just four days, plaque accumulation reaches its peak. By the fifth day, your gums are red, swollen, and begin to bleed when brushing.
So, what happens from there? If you ignore these initial signs, within a few weeks, the inflammation spreads to deeper tissues. The gums pull away from the teeth, pockets form, and bacteria nestle in these pockets. This can soon progress to bone loss.
Stages of periodontal disease
Periodontal disease is a disease that affects the gums and surrounding supportive tissues, typically progressing through several stages. This disease can be prevented with good oral care, but if left untreated, it can lead to serious problems, including tooth loss.
Stage 1: Gingivitis
Gingivitis is the first stage of periodontal disease, and it usually happens when plaque builds up along the gum line. Symptoms of gum disease include bleeding, swelling, and redness in the gums while brushing. The gums and bones are healthy at this point, and it is possible to turn things around. Early intervention prevents the disease from progressing, and treatment can be very simple.
Stage 2: Periodontitis (advanced gum disease)
If gum inflammation is left untreated, the disease progresses to a more advanced stage known as periodontitis. At this stage, the inflammation spreads beyond the gums and affects the bone and connective tissues that support the teeth. Periodontitis manifests itself through swelling, bleeding, and recession of the gums. In addition, as the pockets between the teeth deepen, more plaque accumulates and the risk of bone loss increases.
If the disease is not treated, bone loss can cause the teeth to loosen and eventually fall out. Treatment at this stage is usually more extensive and may require methods such as scaling and root planing, and sometimes surgical intervention.
What factors impact the progression of periodontal disease?
There are a number of factors that influence the rapid spread and progression of periodontal disease:
Severity of the disease
The level of periodontal disease has a direct impact on the health and longevity of your teeth. If you only have mild inflammation of your gums, you can control the situation and prevent damage to your teeth by seeking early treatment and paying attention to oral hygiene.
Response to treatment
Early diagnosis can make a significant difference in managing periodontal disease. Deep cleaning, such as scaling and root planing, prevents the disease from worsening and keeps the teeth stable. Antibiotic treatment and, when necessary, surgical intervention can also help the treatment process by stopping the spread of infection. Periodontal disease can be controlled without tooth loss through early intervention, ensuring that teeth are preserved.
Oral hygiene
Brushing your teeth regularly and using dental floss are critical for preventing gum disease. Inadequate oral care leads to the accumulation of plaque and tartar, which can cause gum inflammation (gingivitis) and eventually periodontitis.
Using tobacco and smoking
Smoking makes the immune system less effective and slows down the healing process. Smokers are more likely to lose teeth because periodontal disease gets worse faster in them.
Genetic predisposition and other health conditions
Periodontal disease may be more common in individuals with a family history of the condition. In addition, systemic diseases such as diabetes can pave the way for the progression of periodontal disease. Controlling these diseases can affect the course of gum disease.
Hormonal changes and medication use
Pregnancy, menopause, or certain medications can make gums more susceptible to infection. Changes in hormone levels, in particular, can cause swelling and bleeding of the gums. Furthermore, some medications can negatively affect gum health, contributing to periodontal disease.
How long can you keep your teeth with periodontal disease?
If you have gum disease, you've probably asked yourself this question: "How long can I keep my teeth healthy?" The answer is simple, but it's also up to you: the sooner you take action, the longer you can keep them healthy.
The length of time your teeth stay healthy depends entirely on the severity of your periodontal disease. If you've reached the stage of periodontitis and your teeth are starting to loosen, tooth loss may be just a matter of time. However, if the disease is in its early stages and you begin the right treatment, you can maintain the health of your teeth for years.
With gum disease in the initial stages, you'll only experience redness and bleeding in the gums. At this point, you can protect your teeth for years with regular cleanings, proper brushing, and professional care. But if you wait, the disease will reach the roots of your teeth and into the bone. Then things change. The goal isn't to stop the disease but to keep it under control.
Let's give an example: Imagine hearing a noise coming from your car engine. If you get it fixed right away, the problem will be minor. But if you wait months, you'll need to replace the motor instead of repairing it. Gum disease works exactly the same way.
The good news is that while periodontitis is irreversible, it can be managed. With proper and timely treatment, regular checkups, and patient care, you can keep your teeth for many years. But remember, waiting is the biggest mistake you can make with this disease. The sooner you start treatment, the longer your smile will last.
What are the treatment options for periodontal disease?
Periodontal disease can seriously affect your teeth. Fortunately, there are many options for treating this condition. Here are the treatment options for periodontal disease:
1. Deep cleaning and root planing
The first step is usually scaling and root planing. We remove plaque and tartar deposits from beneath the gums. This prevents bacteria from growing and stops the spread of inflammation. Root planing smooths the roots of the teeth and prevents further bacterial buildup.
This procedure is one of the most effective treatments for early-stage gum disease.
2. Surgical intervention
If the disease is advanced, surgery may be necessary. Periodontal surgery helps clean the deep pockets that form under the gums and repair the tissues around the teeth. Flap surgery lifts the gums to remove the plaque and tartar deposits beneath them. Procedures such as bone grafts and soft tissue grafting may also be performed. Yes, surgical interventions may be a bit more invasive, but these procedures can prevent you from losing your teeth.
3. Antibiotic use
In severe cases of periodontal disease, antibiotics may also be included in the treatment. Antibiotics are used to control the infection in the gums.
4. Tooth extraction and dentures
If tooth loss becomes inevitable, a tooth extraction may be necessary. This is a last resort. Dentists strive to preserve teeth whenever possible, but in some cases, a tooth may need to be extracted.
You can choose dental implants or dentures to replace missing teeth. These treatment options will help you restore your missing teeth and restore your natural smile.
5. Ongoing care and lifestyle changes
Gum disease treatment doesn't only happen at the clinic. Taking care of your teeth on a regular basis is very important. Your dentist will keep the disease under control by cleaning your teeth and checking on you regularly.
Making changes to your lifestyle, like not smoking, eating well, and reducing stress, can also help your oral health. Don't forget that your daily habits are just as important to your dental health as the dentist.
Conclusion
Periodontal disease is a process that can be stopped if detected early. This disease isn't the end, but rather a warning. Your gums are practically telling you, "Take care of me." If you hear this voice early, you can keep your teeth healthy for years to come.
So, what should you do? The answer is simple: regular care, proper cleaning, and timely intervention. Brushing your teeth isn't just an aesthetic habit; it's an investment in the future. By spending a few minutes every day, you can prevent the progression of gum disease.
In conclusion:
Preserving your smile is in your hands. If your gums are healthy, you'll not only have a beautiful smile, but your overall health will also be strengthened. Because the mouth is the gateway to your body. Protecting it will help keep everything else in balance.
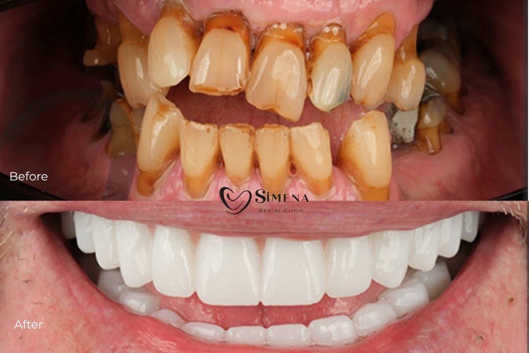
In short, listen when your gums give you a signal. Take action promptly. With early diagnosis, proper treatment, and regular care, you'll save not only your teeth but also your confidence. By contacting our Simena Dental Clinic directly, you can receive an early diagnosis and the right treatment and achieve a healthy smile.
